Leistungsübersicht

Unsere Leistungen im Überblick

Hier finden Sie alle Behandlungsbereiche der Praxis Dr. Horst Boland in Heidelberg. Die Seite ist so aufgebaut, dass Sie direkt zu einzelnen Themen wie Implantologie, Oralchirurgie, Prophylaxe oder Ästhetik springen können.

Von klassischer Zahnheilkunde bis Oralchirurgie

Die Kategorien orientieren sich direkt an Ihrem Hover-Menü. So können Besucher schnell verstehen, welche Leistungen angeboten werden, und anschließend gezielt zu einzelnen Themen springen.

Jeder Unterpunkt direkt erreichbar

Alle Punkte aus dem Dropdown führen bereits auf die passenden Abschnitte dieser Seite. So können Besucher direkt zu genau der Behandlung springen, die sie interessiert.

Klassische Zahnheilkunde

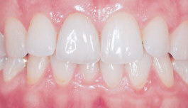
Kronen und Brücken

Jegliche Form von Zahnersatz, ob Krone, Brücke oder Prothese, ist eine Maßanfertigung und wird individuell an Ihre Mundsituation angepasst. Die Praxis arbeitet seit vielen Jahren Hand in Hand mit ortsansässigen deutschen Meisterfachlaboren für Zahntechnik.

Die Krone: Der festsitzende Zahnersatz

Ist ein großer Teil eines Zahnes zerstört, wird dieser durch eine Krone ersetzt. Eine Krone ist ein schützender Zahnersatz, der über dem präparierten Zahn befestigt wird und individuell in Farbe und Form auf die natürliche Situation abgestimmt ist.

Ziel ist ein natürliches ästhetisches Aussehen bei gleichzeitig sicherer Kaustabilität. Bevorzugt werden heute vollkeramische Kronen wie Empress, Emax oder Zirkon, da sie den natürlichen Zahn besonders gut nachahmen.

Krone aus Keramik
Die Vorteile sind:
  • Natürliche Ästhetik und ein sicheres Zahngefühl
  • Perfekte Kaufunktion
  • Langlebigkeit
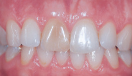
Die Brücke: Zahnersatz für Zahnlücken

Damit die Kaufunktion erhalten bleibt, müssen Zahnlücken geschlossen werden. Keramik-Brücken stellen dabei eine besonders elegante Lösung dar. Die Nachbarzähne werden überkront und dienen als Brückenpfeiler.

Ist die Lücke zu groß, kann ein Implantat als zusätzlicher Brückenpfeiler nötig sein, damit die Versorgung den Druckbelastungen beim Essen standhält. Eine Brücke stellt das natürliche Aussehen und die volle Funktion einer intakten Zahnreihe wieder her, unterstützt gutes Kauen und richtiges Sprechen und stabilisiert den Halt der übrigen Zähne im Kiefer.

Brücke aus Keramik
Gute Gründe
Fehlende Zähne setzen die Kauleistung herab. Angrenzende Zähne können in Richtung Zahnlücke kippen. Sichtbare Zahnlücken beim Sprechen oder Lachen sind zudem auch ein ästhetisches Thema.
Funktion & Ästhetik
Kronen und Brücken verbinden exakte zahntechnische Arbeit mit natürlicher Optik, sicherer Kaufunktion und einer auf Ihre individuelle Mundsituation abgestimmten Versorgung.
Persönliche Beratung
Welche Möglichkeiten für Sie bestehen, um Zähne oder Zahnlücken ästhetisch und funktional zu versorgen, erklärt die Praxis gerne in einem persönlichen Gespräch.
Klassische Zahnheilkunde

Prothesen

Alternativ zu Implantaten gibt es klassische Versorgungsformen wie Klammerprothese, Kombinationsprothese, Vollprothese und implantatgetragene Prothese. Auch wenn Implantate heute häufig die bestmögliche Zahnersatzform darstellen, sind klassische Prothesen in vielen Situationen eine gute Alternative.

Die Klammerprothese

Eine Klammerprothese ersetzt einen oder mehrere fehlende Zähne. Mit Hilfe von Metallklammern wird sie an den eigenen Zähnen befestigt. Die Prothese besteht aus einer metallenen, mit Kunststoff umgebenen Prothesenbasis, auf der die künstlichen Zähne sitzen.

Für die richtige Konstruktion wird heute statt eines traditionellen Abdrucks ein präziser Intraoralscan vom Ober- und Unterkiefer erstellt. Zahnform, Zahnfarbe, Bisshöhe und Bisslage werden individuell berechnet und zusammengestellt. Eine Teilprothese kommt vor allem dann zum Einsatz, wenn eine Brücke aufgrund fehlender oder instabiler Pfeilerzähne nicht mehr in Frage kommt.

Die Kombinationsprothese

Die Kombinationsprothese wird eingesetzt, wenn noch ein Restzahnbestand vorhanden ist. Sie besteht aus einem fest zementierten Teil wie Kronen oder Brücken und einem herausnehmbaren Teil. Für den sicheren Halt werden Stege, Geschiebe oder Teleskope genutzt. Die Halteelemente des herausnehmbaren Zahnersatzes bleiben dabei von aussen nicht sichtbar.

Kombinierter Zahnersatz bietet einen hohen Tragekomfort und einen hohen ästhetischen Stellenwert.

Die Vollprothese

Sind keine eigenen Zähne mehr vorhanden, werden Totalprothesen angefertigt. Die Saugkraft der Prothese bildet dann das wichtigste Halteelement. Im Oberkiefer funktioniert dies anfangs oft zufriedenstellend, während viele Patienten im Unterkiefer einen unzureichenden Halt beanstanden.

Die schmale Knochenspange des Unterkiefers bietet einer Prothese häufig nur wenig Haftung. Wackelnde oder herausfallende Prothesen können die Folge sein. Selbst bei optimaler Gestaltung des Prothesenrandes kann bei ungünstigen Kieferkammverhältnissen kein ausreichender Saugeffekt erreicht werden.

In solchen Situationen empfiehlt die Praxis das Setzen von Implantaten, an denen die Prothese fixiert wird. Gerade im Unterkiefer ist dies häufig sinnvoll, da sich durch Zunge und beweglichen Mundboden nur schwer ein Saugeffekt aufbauen lässt.

Die implantatgetragene Prothese

Wenn wegen geringer Kieferkammhöhe mit Totalprothesen kein ausreichender Halt erreichbar ist, verbessern implantatgetragene Prothesen die Stabilität deutlich und dauerhaft. Implantate sichern über Verbindungselemente die Befestigung der Unterkieferprothese.

Obwohl zwei Implantate manchmal genügen, werden aus statischen Gründen häufig vier Implantate empfohlen. Die genaue Anzahl richtet sich immer nach der individuellen Situation. Die Nachteile einer lockeren Totalprothese entfallen nach einer Implantatprothetik in vielen Fällen weitgehend.

Versorgungsformen
Möglich sind Klammerprothesen, Kombinationsprothesen, Vollprothesen und implantatgetragene Prothesen. Welche Versorgung passt, hängt immer von Restzahnbestand, Knochenangebot und den funktionellen Anforderungen ab.
Komfort & Halt
Ein optimaler Sitz ist entscheidend für Sprechen, Kauen und ein sicheres Tragegefühl. Bei ungenügendem Halt klassischer Prothesen kann eine implantatgetragene Versorgung die Stabilität deutlich verbessern.
Die Kosten
Vor der Behandlung erhalten Sie einen ausführlichen Behandlungs- und Kostenplan, damit alle Schritte und die geplante Versorgung transparent nachvollziehbar bleiben.
Klassische Zahnheilkunde

Wurzelbehandlung

Qualitativ hochwertige Wurzelkanalbehandlung mit dem Ziel, den eigenen Zahn möglichst lange zu erhalten.

Der eigene Zahn - das Original

Für die Praxis ist der Erhalt des eigenen Zahnes ein besonders wertvolles Ziel, auch wenn bereits ausgeprägte Vorschädigungen vorliegen. Zur Zahnerhaltung zählt deshalb auch die präzise und qualitativ hochwertige Wurzelkanalbehandlung.

Wenn der Zahnnerv geschädigt ist, droht der Verlust des Zahnes. Solche Schädigungen können zum Beispiel durch Karies entstehen. Der Nerv, der den Zahn versorgt, entzündet sich und in der Folge treten häufig deutliche Zahnschmerzen auf.

Bei der Wurzelbehandlung wird der betroffene Zahn mit Spezialinstrumenten gesäubert und mit Medikamenten desinfiziert. Den Abschluss bildet die Wurzelfüllung, die den Wurzelkanal abdichtet. Hohe Präzision, Genauigkeit und langjährige Erfahrung schaffen die Grundlage für ein erfolgreiches Ergebnis.

Ziel der Behandlung
Die Wurzelbehandlung dient dazu, den natürlichen Zahn trotz entzündetem oder geschädigtem Zahnnerv zu erhalten und seine Funktion langfristig zu sichern.
Behandlungsablauf
Der Wurzelkanal wird sorgfältig gereinigt, desinfiziert und anschließend dicht verschlossen. Entscheidend sind dabei eine ruhige Vorgehensweise, hohe Genauigkeit und eine präzise Ausführung.
Beratung
Gerne werden Befund, Behandlungsmöglichkeiten und die Aussicht auf Zahnerhalt in einem persönlichen Gespräch erklärt.
Klassische Zahnheilkunde

Kiefergelenktherapie

Gnathologie für ein harmonisches Zusammenspiel von Zähnen, Kiefergelenk und Muskulatur.

Gnathologie

Unser Kausystem ist wie ein fein aufeinander abgestimmtes Uhrwerk. Das Zusammenspiel zwischen Ober- und Unterkiefer muss zueinander passen, damit die Zähne störungsfrei ineinander greifen können. Zusätzlich werden die Kau-, Hals-, Nacken- und Rückenmuskulatur aktiv in dieses System einbezogen.

Wenn Kieferknochen, Kiefergelenk, Zahnhalteapparat oder Zähne nicht richtig aufeinander abgestimmt sind und aus dem Gleichgewicht geraten, zeigt sich dies in einer Disbalance des Kausystems. Fehlstellungen können Verspannungen der Muskulatur sowie Schmerzen in Ohr, Hals, Rücken und Schultern auslösen.

Unsere Therapie findet Anwendung bei:
  • Erkrankungen der Kaumuskulatur
  • Disharmonie und Druckschmerzen der Kiefergelenke
  • Parodontalerkrankungen mit Fehlbelastungen
  • Restaurativen Maßnahmen und Zahnersatz
  • Knochenabbau an Wurzeln überlasteter Zähne
  • Kälte- und kaudruckempfindlichen Zähnen
  • Kieferorthopädischer Behandlung
  • Zähneknirschen, besonders nachts
  • Zähnepressen tagsüber
  • Kauen nur auf einer Seite
  • Knacken im Kiefergelenk
  • Kopfschmerzen, besonders frühmorgens
  • Bewegungseinschränkung beim Mundöffnen
  • Ausstrahlenden Schmerzen im Gesichts- und Kopfbereich
  • Muskelverspannungen
  • Ohrenschmerzen
Vorgehensweise
Die Funktionstherapie behandelt Fehlfunktionen des Kiefergelenkes. Unser diagnostisches Vorgehen umfasst die klinische Untersuchung, die Übertragung der Zahnmodelle auf Gelenksimulatoren sowie die computergestützte digitale Röntgentechnik. Die Bewegung des Kiefers wird festgehalten und die Kiefergelenke werden vermessen, um funktionelle Störungen eindeutig abzuklären.
Schiene und Ziel der Therapie
Eine individuell angefertigte Kunststoffschiene wird für die Nacht und bei Bedarf auch tagsüber getragen. Sie bedeckt die Kaufflächen, entkoppelt fehlerhafte Zahnkontakte und hilft dabei, eine entspannte Optimalposition des Kiefers unter Einbeziehung der Kaumuskulatur zu erreichen. Beschwerden und Schmerzen lassen dadurch oft deutlich nach.
Ganzheitlicher Behandlungsansatz
In manchen Fällen reichen bereits geringste Einschleifmaßnahmen an den Kaufflächen oder die Erneuerung unpassender Zahnfüllungen aus. Wir beziehen neben dem Kiefergelenk bewusst auch die Muskulatur mit ein, um einen harmonischen und entspannten Zusammenbiss zu erreichen. Bei Bedarf kann die Behandlung durch Orthopaedie und Physiotherapie begleitet werden.
Parodontologie

Parodontologie

Gezielte Parodontitisbehandlung zur Stabilisierung des Zahnhalteapparates und zum langfristigen Erhalt der Zähne.

Parodontose Behandlung ist Parodontitis Behandlung

Parodontitis wird durch Bakterien verursacht, die sich zwischen Zahn und Zahnfleisch ansammeln. Werden diese Bakterien nicht entfernt, bilden sich mit der Zeit harte Belaege auf den Zähnen und in den Zahnzwischenräumen. Es kommt zu Entzündungen, Rötungen, Schwellungen und einer erhöhten Blutungsneigung des Zahnfleisches.

In der Folge können die Fasern, die die Zähne mit dem Kieferknochen verbinden, geschädigt werden. Das Zahnfleisch löst sich vom Zahn, Zahnfleischtaschen entstehen und weitere Bakterien können sich dort ansammeln. Wird die Parodontitis nicht behandelt, kommt es zum Knochenabbau und die Zähne beginnen sich zu lockern.

Die Praxis bietet spezielle Lösungen an, um das Fortschreiten dieser Erkrankung zu bremsen. Nach einer Parodontitisbehandlung ist es unverzichtbar, die Zähne in individuell empfohlenen Abständen professionell reinigen zu lassen. Je nach Schweregrad und persönlichem Risiko, etwa bei Diabetes oder Rauchen, sind drei bis vier professionelle Reinigungen pro Jahr sinnvoll.

Diagnose
Zunächst wird die Art und Schwere der Parodontitis bestimmt. Mit einem Sondierungsgerät werden die Tiefe der Zahnfleischtaschen und der Zahnfleischrückgang gemessen. Die Untersuchung ist in der Regel kurz und schmerzfrei. Bei Bedarf zeigen Röntgenaufnahmen den Zustand des Kieferknochens.
Vorbehandlung
Durch die professionelle Zahnreinigung und ein anschließendes Mundhygiene-Training werden optimale Voraussetzungen geschaffen, um die Bakterien besonders in den Zahnzwischenräumen dauerhaft zu reduzieren. Anschliessend wird der Behandlungserfolg mit einem speziellen Analyseverfahren kontrolliert.
Parodontitisbehandlung
Zum richtigen Zeitpunkt werden verborgene Belaege und Bakterien in der Tiefe mit speziell geformten Instrumenten entfernt. Die Zahnfleischtaschen werden gereinigt, das entzündete Gewebe kann sich erholen und die Behandlung erfolgt mit leichter Betäubung schmerzfrei. In besonderen Fällen kann später auch ein Aufbau des Kieferknochens mit speziellen Präparaten sinnvoll sein.
Ästhetik

Inlays und Veneers

Hochwertige Rekonstruktionen für einen festen Biss, natürliche Ästhetik und ein sicheres Gefühl im Alltag.

Die langjährige Erfahrung der Praxis sorgt für ein besonders gutes Wohlgefühl nach einer Zahnrekonstruktion und schenkt Sicherheit für den festen Biss. Auch wenn Implantate heute oft die beste Form des Zahnersatzes darstellen, gibt es viele Situationen, in denen klassische Formen des Zahnersatzes eine sehr gute Alternative bieten.

Inlays

Inlays sind Einlagefüllungen aus Gold, Keramik oder Kunststoff, die als individuell gefertigtes Einzelstück in den präparierten Zahn eingeklebt werden. Wenn der Defekt des Zahnes noch nicht so groß ist, dass eine Krone notwendig wird, ist ein Inlay oft die passende Lösung.

Die haltbarste Restauration für den Zahn ist die Versorgung mit einem Keramik-Inlay. Diese Form wird besonders dann empfohlen, wenn es um hochwertige und langlebige Lösungen geht.

Gold- oder Keramik?

Gold-Einlagefüllungen sind besonders stabil und sehr langlebig, lassen sich ästhetisch heute jedoch nur noch schwer vermitteln. Keramikfüllungen bieten ebenfalls eine lange Lebensdauer und erfüllen zugleich einen höheren Schönheitsanspruch. In ihrem Erscheinungsbild sind sie von gesunden, weissen Zähnen kaum zu unterscheiden.

Veneers

Veneers sind hauchdünne, lichtdurchlässige Keramikschalen für den Frontzahnbereich. Sie werden zum Beispiel eingesetzt bei Schneidekantendefekten, großen unschönen Kunststofffüllungen, Lücken oder Fehlstellungen im Frontzahnbereich.

  • Schneidekantendefekte
  • Grosse, unansprechende Kunststofffüllungen im Frontzahnbereich
  • Lücken im Frontzahnbereich
  • Fehlstellungen im Frontzahnbereich

Veneers verleihen den Zähnen ein natürliches und optimiertes Aussehen. Auch die Zahnfarbe wird dem Gesamtbild individuell angepasst. Keramik ist biologisch sehr verträglich, lichtdurchlaessig und zugleich ausgezeichnet belastbar. In Bezug auf Haerte, Abriebfestigkeit und Elastizität ist sie für diese Versorgung besonders zu empfehlen.

Wann Inlays sinnvoll sind
Ein Inlay eignet sich, wenn ein Zahn bereits versorgt werden muss, der Defekt aber noch nicht so weit reicht, dass eine Krone notwendig wird. Ziel ist eine langlebige und substanzschonende Rekonstruktion.
Ästhetik im Frontzahnbereich
Veneers bieten eine elegante Möglichkeit, Form, Stellung und Farbe der Frontzähne sichtbar zu verbessern, ohne dabei auf eine natürliche Lichtwirkung zu verzichten.
Material und Haltbarkeit
Keramik überzeugt durch ihre natürliche Wirkung, sehr gute Verträglichkeit und hohe Belastbarkeit. Deshalb ist sie sowohl bei Inlays als auch bei Veneers eine besonders hochwertige Wahl.
Ästhetik

Füllungen

Versorgung von Defekten mit Kunststoff, Gold oder Keramik für Funktion, Schutz und ein ästhetisch stimmiges Ergebnis.

Füllungen aus Kunststoff, Gold oder Keramik

Bei Karies oder einer abgebrochenen Zahnecke sollte eine Zahnbehandlung möglichst zeitnah erfolgen, um weitere Zahnprobleme zu vermeiden. Die moderne Zahnmedizin bietet verschiedene Möglichkeiten zur Versorgung mit unterschiedlichen Füllungsmaterialien.

Es gibt Materialien, die direkt in den Zahn eingebracht werden, wie Kunststoffe, und es gibt Einlagefüllungen aus Gold oder Keramik, die nach Abdrucknahme beziehungsweise präziser Planung im zahntechnischen Labor individuell angefertigt werden. Für diese hochwertigen Einlagefüllungen verweist die Praxis auch auf den Bereich Inlays.

Gut gefüllt

Welche Versorgung sinnvoll ist, richtet sich nach Größe und Lage des Defekts, den funktionellen Anforderungen und dem gewünschten ästhetischen Ergebnis. Ziel ist immer eine lösungsorientierte, langlebige und substanzschonende Versorgung.

Kunststoff-Füllungen

Kunststoff-Füllungen sind heute die Alternative zur früher verbreiteten Amalgamfüllung. Sie sind zahnfarben, ästhetisch ansprechend und kostenbewusst. Durch die schichtweise Aushärtung erreicht der Kunststoff die nötige Haerte, um dem Kaudruck standzuhalten. Defekte im Front- und Seitenzahnbereich können damit sicher versorgt werden.

Amalgam-Füllungen

Die Verwendung von Amalgam ist durch die EU verboten. Moderne Alternativen wie Kunststoff- oder Keramikversorgungen stehen für eine zeitgemäße und ästhetische Behandlung zur Verfügung.

Direkte oder indirekte Versorgung
Je nach Defekt kommen direkt eingebrachte Materialien oder individuell im Labor hergestellte Einlagefüllungen in Frage. Die Entscheidung orientiert sich an Funktion, Belastung und Langfristigkeit.
Ästhetik und Stabilität
Zahnfarbene Kunststoff-Füllungen bieten eine ästhetische Lösung für viele Defekte. Noch langlebiger und hochwertiger können Keramik- oder Goldversorgungen sein, wenn die Situation dies erfordert.
Beratung zur passenden Lösung
Die Praxis wählt die passende Füllung immer individuell aus und erklärt, wann eine direkte Versorgung ausreicht und wann ein Inlay oder eine andere hochwertige Rekonstruktion sinnvoller ist.
Ästhetik

Amalgamsanierung

Zeitgemäße Erneuerung älterer Amalgamfüllungen durch körperverträglichere und ästhetisch passendere Materialien.

Zeitgemäßer Renovierungsbedarf?

Die Verwendung von Amalgam als Fuellungsmaterial wurde durch die EU verboten. Unter einer Amalgamsanierung versteht man die Entfernung bestehender Amalgamfüllungen und den anschließenden Ersatz durch moderne Versorgungen aus Kunststoff, Gold oder Keramik, etwa in Form von Inlays.

Aus der Verantwortung für Ihre Gesundheit empfiehlt die Praxis Füllungen aus körperverträglicheren Materialien. Welche Versorgung im Einzelfall sinnvoll ist, richtet sich nach Befund, Größe des Defekts und den funktionellen sowie ästhetischen Anforderungen.

Für weiterführende Informationen zu den möglichen Materialien und Versorgungsformen verweist die Praxis auch auf den Bereich Füllungen.

Was ersetzt Amalgam
Nach der Entfernung alter Amalgamfüllungen kommen moderne Alternativen wie Kunststoff-, Gold- oder Keramikversorgungen zum Einsatz. Ziel ist eine funktionelle und langfristig stimmige Lösung.
Gesundheit und Verträglichkeit
Im Mittelpunkt steht der Wechsel auf körperverträglichere Materialien. Dabei wird jede Versorgung individuell geplant und auf die jeweilige Zahnsituation abgestimmt.
Nächster Schritt
In einem persönlichen Gespräch lässt sich klären, welche alten Füllungen ersetzt werden sollten und welche moderne Versorgung sich dafür am besten eignet.
Ästhetik

Air-Flow® & Bleaching

Professionelle Zahnreinigung, Politur und Zahnaufhellung für ein sichtbar frisches, gesundes und attraktives Lächeln.

Weissere Zähne lassen uns gesund und attraktiv aussehen. Im Laufe der Jahre werden Zähne dunkler und gelber. Verursacht wird dies unter anderem durch Zigaretten, Tee, Kaffee, Wein oder bestimmte Medikamente. Damit die Zähne wieder in attraktivem Glanz erscheinen, bietet die Praxis professionelles Air-Flow® als Zahnreinigung und Politur sowie Bleaching zur Zahnaufhellung an.

Bleaching zu Hause

Eine Möglichkeit der Zahnaufhellung ist das Bleaching zu Hause. Nach Untersuchung und Zahnreinigung in der Praxis wird ein Abdruck der Zähne genommen. Darauf basierend werden passgenaue, weiche Kunststoffschienen hergestellt, die zusammen mit einem Gel ausgegeben werden. Das Home-Bleaching ist etwas zeitaufwendiger, zugleich aber zahnschonend und individuell steuerbar.

Vorgang

Beim Bleaching zu Hause wird ein Präparat verwendet, das Carbamid als Vorstufe von Wasserstoffperoxid enthält. Das Gel dringt in den Zahnschmelz ein und setzt Sauerstoffradikale frei, die die Farbstoffe im Zahn chemisch verändern. Zu Hause wird die Schiene mit dem Bleichmittel befüllt und zum Einwirken auf die obere oder untere Zahnreihe gesetzt. Die genaue Bleichdauer richtet sich nach dem verwendeten Gel.

Bleaching in der Praxis

Diese Behandlung führt schnell und schonend zu deutlich helleren Zähnen. Der Vorteil dieser Methode liegt darin, dass die Zähne in kürzester Zeit um mehrere Farbstufen aufgehellt werden können.

Vorgang

Das Zahnfleisch wird geschützt und das Bleichgel gleichmäßig auf die betroffenen Zähne aufgetragen. Danach erfolgt die Bestrahlung mit hellem Licht für etwa 60 Sekunden pro Zahn. Das Bleichgel bewirkt nun die eigentliche Aufhellung. Diese Methode ist sanft und schonend.

Air-Flow®

Das Air-Flow®-System ist eine zahnschonende Maßnahme zur Beseitigung von Zahnverfaerbungen, die durch Genussmittel wie Kaffee, Tee oder Zigaretten entstehen. Besonders in schwer zugänglichen Bereichen kann diese Form der Reinigung sichtbare Verfärbungen deutlich reduzieren.

Vorgang

Bei einer Behandlung mit Air-Flow® werden Zahnbelaege und Verfärbungen mit einem durch Druckluft ausgeworfenen Strahl aus Wasser und Salz entfernt. Vor allem in Bereichen, die mit einer klassischen Politur nur schwer zugaenglich sind, lassen sich auf diese Weise unansehnliche Verfärbungen weitgehend beseitigen. Die Behandlung mit dem Pulver-Wasserstrahlgerät ist schmerzfrei.

Fragen Sie uns. Ihre Zufriedenheit ist unser schönstes Ziel.

Bleaching zu Hause oder in der Praxis
Je nach Wunsch kann die Aufhellung kontrolliert zu Hause mit individuellen Schienen oder schnell und intensiv direkt in der Praxis erfolgen. Welche Variante besser passt, wird nach Untersuchung und Reinigung besprochen.
Air-Flow® als sanfte Reinigung
Air-Flow® eignet sich besonders zur Entfernung äußerlicher Verfärbungen und zur schonenden Politur. Die Methode erreicht auch schwer zugängliche Bereiche und ist dabei schmerzfrei.
Hinweis
Air-Flow® ist ein eingetragenes Warenzeichen der EMS-Gruppe. Gerne erklärt die Praxis im persönlichen Gespräch, welche Behandlung für Ihr gewünschtes Ergebnis am sinnvollsten ist.
Prophylaxe

Professionelle Zahnreinigung

Individuell abgestimmte Prophylaxe zur Reduzierung von Bakterien und zum langfristigen Schutz von Zähnen, Zahnfleisch und Kieferknochen.

Zahngesundheit ist uns wichtig

Der Schlüssel zur Zahngesundheit heißt Vorbeugung. Die richtige Mundhygiene und eine intensive zahnärztliche Betreuung helfen dabei, Karies sowie den Abbau von Zahnfleisch und Kieferknochen mit nachfolgendem Zahnverlust zu vermeiden.

Die Praxis bietet vorbeugende Maßnahmen wie professionelle Zahnreinigung, Mundhygiene-Beratung, Fissurenversiegelung für Kinder und Erwachsene sowie Fluoridierung und Kariesprophylaxe. Die professionelle Zahnreinigung dient vor allem dazu, die Anzahl der Bakterien zu reduzieren, die Karies und Zahnfleischentzündungen verursachen.

Familie als Sinnbild für Vorsorge und Zahngesundheit

Jeder natürliche Zahn ist besser als der perfekteste Zahnersatz. Deshalb ist der Erhalt Ihrer Zähne das oberste Ziel. Je regelmäßiger Sie an der Prophylaxe teilnehmen, desto größer ist die Chance, die eigenen Zähne lange gesund zu erhalten. Ergänzend verweist die Praxis auch auf den Bereich Solo-Prophylaxe®.

Durch individuell abgestimmte Prophylaxe-Maßnahmen wird ein Höchstmaß an Schutz angestrebt. So versiegelt die Fissurenversiegelung besonders bei Kindern kariesanfällige Schwachstellen der Zähne mit einem Schutzlack. Darüber hinaus kann eine Flächenfluoridierung empfohlen werden, bei der die Zahnsubstanz durch das Auftragen eines Gels gehärtet und für lange Zeit widerstandsfähiger gemacht wird.

Für die jüngsten Patientinnen und Patienten bietet die Kinderbehandlung zusätzlich ein Zahnputz-Vorsorgeprogramm.

Vorbeugende Maßnahmen
Professionelle Zahnreinigung, Mundhygiene-Beratung, Fissurenversiegelung sowie Fluoridierung helfen dabei, Karies und Zahnfleischerkrankungen frühzeitig vorzubeugen.
Langfristiger Zahnerhalt
Regelmäßige Prophylaxe unterstützt den langfristigen Erhalt der natürlichen Zähne und reduziert das Risiko für Entzündungen, Knochenabbau und späteren Zahnverlust.
Kinder und Erwachsene
Die Prophylaxe wird individuell auf Alter, Zahnsituation und Risiko abgestimmt. Gerade bei Kindern schaffen Fissurenversiegelung und Vorsorgeprogramme einen frühen und wirksamen Schutz.
Prophylaxe

Solo-Prophylaxe®

Individuelles Mundhygiene-Training für die effektive Reinigung der Zahnzwischenräume und schwer zugänglichen Bereiche.

Die meisten krankmachenden Bakterien, bis zu 95 Prozent, vermehren sich in den Zahnzwischenräumen und in den Vertiefungen der Backenzaehne. Der herkoemmliche Gebrauch von Zahnbürste und Zahnseide reicht oft nicht aus, um diese Bakterien vollständig zu beseitigen.

Mit der Solo-Prophylaxe®-Sitzung bietet das geschulte Prophylaxe-Team eine effektive Technik des Zähneputzens an. Nach der professionellen Zahnreinigung folgt ein individuelles Mundhygiene-Training. Auch die Überprüfung des Lernerfolges und weitergehende Informationen durch das Prophylaxe-Personal gehören zu dieser Methode.

Frau mit gesundem Lächeln als Sinnbild für Mundgesundheit
Unsere Solo-Prophylaxe®-Sitzung

Drei- bis viermonatige Abstände zwischen den Prophylaxe-Sitzungen werden als sinnvoll angesehen. Ziel ist die dauerhafte und effektive Beseitigung von Bakterien, besonders in den Zahnzwischenräumen. Sie haben es selbst in der Hand, Ihre Zähne dauerhaft vor Karies und Parodontitis zu schützen.

Die Methode verbindet professionelle Zahnreinigung, individuelles Training und die konsequente Anpassung an Ihre persönliche Zahnsituation. So wird Mundhygiene nicht nur empfohlen, sondern praktisch und alltagstauglich vermittelt.

Solo-Prophylaxe® Logo
Produkte für die Zahngesundheit
Warum Solo-Prophylaxe®
Der Schwerpunkt liegt auf den Bereichen, in denen sich besonders viele krankmachende Bakterien sammeln: Zahnzwischenräume und Fissuren. Genau dort setzt diese Methode mit gezieltem Training an.
Ablauf der Sitzungen
Nach der professionellen Zahnreinigung folgt ein individuelles Mundhygiene-Training mit Kontrolle des Lernerfolges. Regelmäßige Auffrischungen im Abstand von drei bis vier Monaten helfen, die Technik dauerhaft sicher anzuwenden.
Ihr Vorteil
Sie lernen eine alltagstaugliche und effektive Technik, mit der Sie Ihre Zähne selbst aktiv vor Karies und Parodontitis schützen können.
Prophylaxe

Fissurenversiegelung

Vorbeugender Schutz für kariesanfällige Zahnflächen, besonders im hinteren Zahnbereich.

Für wen geeignet
Ideal für Patientinnen und Patienten, die eine verständliche Beratung und eine individuell abgestimmte Lösung suchen.
Praxisansatz
Die Behandlung wird klar erklärt, sorgfältig geplant und mit Blick auf Funktion, Komfort und Ästhetik umgesetzt.
Nächster Schritt
Gerne in der Sprechstunde beraten lassen, um Befund, Möglichkeiten und den passenden Ablauf persönlich zu besprechen.
Chirurgie

Oralchirurgie

Spezialisierte zahnmedizinische Chirurgie mit moderner Diagnostik, umfassender Erfahrung und einem breiten Behandlungsspektrum.

Gesundheit erhalten

Die Oralchirurgie ist ein Spezialgebiet der Zahnmedizin. Fachzahnärzte für Oralchirurgie absolvieren nach dem Studium eine mehrjährige Weiterbildung auf dem Gebiet der zahnärztlichen Chirurgie. Die oralchirurgische Praxis umfasst ein weites Spektrum, von der Zahnentfernung bis zur Implantation künstlicher Zahnwurzeln.

Durch die tägliche Ausübung umfangreicher zahnmedizinisch-chirurgischer Eingriffe erhalten Patientinnen und Patienten ein hohes Maß an Sicherheit und ein optimales Ergebnis. Die Praxis verfügt über modernste Instrumentarien und Verfahren. Ambulante Eingriffe werden in Lokalanästhesie, Sedierung oder Vollnarkose durchgeführt, unterstützt von bewährten Narkoseärzten.

Bereiche der oralen Chirurgie:
  • Implantologie
  • Wurzelspitzenresektionen
  • Kieferorthopädische Chirurgie
  • Reimplantation von Zähnen
  • Zahnextraktionen und chirurgische Entfernungen retinierter und verlagerter Weisheitszähne
  • Abszesstherapie
  • Hemisektionen
  • Entfernung von Kieferzysten
  • Präprothetische Chirurgie wie Vestibulumplastik
  • Lippenbändchen- und Zungenbändchenentfernungen
  • Parodontalchirurgie
  • Oralchirurgische Eingriffe in der Kieferhöhle
  • Umfangreiche zahnärztlich-chirurgische Eingriffe am Kiefer
  • Oralchirurgische Behandlung von Phobie- und Risikopatienten
  • Erstversorgung von Unfällen mit Zahn- oder Kieferschäden
  • Entnahme von Gewebeproben und pathologische Untersuchungen
Diagnostik und Beratung
Am Anfang jeder Behandlung steht ein ausführliches Untersuchungs- und Beratungsgespräch. Dabei kommen moderne Diagnoseverfahren wie das strahlenreduzierte digitale Röntgen zum Einsatz.
Anästhesie und Sicherheit
Je nach Eingriff und individueller Situation kann die Behandlung in Lokalanästhesie, Sedierung oder Vollnarkose erfolgen. Die enge Zusammenarbeit mit bewährten Narkoseärzten sorgt für zusätzliche Sicherheit.
Praxisversprechen
Die Praxis verbindet Erfahrung, moderne Technik und eine klare Begleitung durch den gesamten Eingriff. Bei uns sind Sie in besten Händen.
Chirurgie

Implantologie

Ein besonderer Schwerpunkt der Praxis: implantologische Konzepte für stabile, hochwertige und langfristige Lösungen.

Für wen geeignet
Ideal für Patientinnen und Patienten, die eine verständliche Beratung und eine individuell abgestimmte Lösung suchen.
Praxisansatz
Die Behandlung wird klar erklärt, sorgfältig geplant und mit Blick auf Funktion, Komfort und Ästhetik umgesetzt.
Nächster Schritt
Gerne in der Sprechstunde beraten lassen, um Befund, Möglichkeiten und den passenden Ablauf persönlich zu besprechen.
Chirurgie

Implantation / Implantate

Vor nicht allzu langer Zeit bedeutete Zahnverlust häufig das Tragen von Teil- oder Vollprothesen. Die Praxis bietet mit dem Tätigkeitsschwerpunkt Implantologie den dauerhaft festsitzenden Zahnersatz für verloren gegangene Zähne.

Implantate sind künstliche, meist schraubenförmige Zahnwurzeln aus Titan oder Zirkondioxid und bieten das Fundament für einen stabilen Zahnersatz im Ober- beziehungsweise Unterkiefer. Reintitan und Zirkondioxid sind biokompatible Werkstoffe. Sie lösen in der Regel keine Allergien aus.

Zahnimplantate sind in der Regel zwischen 6 und 14 mm lang und haben einen Durchmesser von etwa 3 bis 6 mm. Dadurch, dass ein Implantat fest in den Kieferknochen einwächst, ist die Verankerung so fest wie bei einem gesunden eigenen Zahn.

Schema eines Zahnimplantats mit Implantatkrone, Implantatkörper, Zahnfleisch und Kieferknochen

Einsatzgebiete von Implantaten:

  • Einzelzahnersatz mit Erhalt gesunder eigener Zähne, ohne Abschleifen
  • Versorgung großer Zahnlücken mit festen Brücken durch Pfeilervermehrung
  • Vermeidung herausnehmbaren Zahnersatzes
  • Fester Halt für abnehmbaren Zahnersatz
Vorgang
Bevor ein oder mehrere Zahnimplantate gesetzt werden können, müssen Zähne und Zahnfleisch in Ordnung sein. Um beurteilen zu können, ob ein Zahnimplantat eingesetzt werden kann, ist eine umfangreiche Diagnose notwendig.
Örtliche Betäubung
Die Praxis bietet Ihnen die Implantation in örtlicher Betäubung an. Bei Zahnarztangst oder bei größeren Eingriffen, zum Beispiel Knochenaufbauten, kann die Behandlung auch unter Sedierung oder in Vollnarkose durchgeführt werden.
Durchführung & Kasse
Das genaue Vorgehen der Implantation wird in einem ausführlichen Beratungsgespräch erklärt. Wie hoch Ihr Kostenanteil im Einzelnen ausfällt, kann die Praxis gerne persönlich für Sie berechnen.
Service

Kinderzahnbehandlung

Ein ruhiger, positiver und kindgerechter Behandlungsrahmen, in dem sich Kinder sicher und willkommen fühlen können.

Ihre Kinder stehen bei uns im Mittelpunkt

Das Team nimmt sich Zeit, um kleinen Patientinnen und Patienten den Aufenthalt in der Praxis so angenehm wie möglich zu machen. Für Kinder ist ein Zahnarztbesuch oft unproblematisch, solange sie noch keine schlechten Erfahrungen gemacht haben. Wenn die Behandlung schmerzfrei erlebt wird, entsteht häufig auch keine Zahnarztangst.

Gemeinsam mit den Eltern soll sich das Kind gerne an den ersten Zahnarztbesuch erinnern. Falls doch Unsicherheit oder Angst aufkommt, versucht die Praxis mit individuellen Tricks, kleinen Geschichten, viel Ruhe und Lachen gegenzusteuern.

Kind mit positivem Daumen hoch als Sinnbild für einen guten Zahnarztbesuch
Tipps vor dem Zahnarztbesuch

Sprechen Sie positiv über den anstehenden Besuch und betonen Sie, wie wichtig saubere, gesunde Zähne und ein schönes Lächeln sind. Vermeiden Sie angstmachende Bemerkungen, denn Sie sind für Ihr Kind das wichtigste Vorbild. Hilfreich kann auch ein kindgerechtes Buch über den Zahnarzt sein, das Sie vor dem Termin gemeinsam anschauen.

Vor dem Besuch können Sie Ihrem Kind erzählen, dass der Zahnarzt alle Zähne zählt und dass es sogar einmal mit dem Zahnarztstuhl auf- und abfahren darf. So entsteht Vorfreude statt Anspannung.

Unsere Beratung

Wenn es schwerfällt, Ihr Kind zum regelmäßigen Putzen zu motivieren, hilft die Praxis gerne weiter. Ein spezielles Vorsorgekonzept unterstützt dabei, gesunde und kariesfreie Zähne zu erhalten. In der Prophylaxe-Beratung werden Zahn- und Mundpflegemassnahmen gezeigt, die genau auf die Bedürfnisse Ihres Kindes abgestimmt sind.

Für besondere Angsthäschen wird sich bewusst mehr Zeit und Ruhe genommen, um auf die individuelle Situation Ihres Kindes einzugehen.

Stressfrei starten
Ein kindgerechter erster Zahnarztbesuch schafft Vertrauen und hilft dabei, spätere Angst gar nicht erst entstehen zu lassen.
Eltern als Unterstützung
Mit positiver Vorbereitung und ruhiger Begleitung können Eltern viel dazu beitragen, dass ihr Kind den Zahnarztbesuch als etwas Gutes erlebt.
Unsere Prophylaxe-Beratung
Die Beratung umfasst kindgerechte Zahn- und Mundpflege, insbesondere die Zahnpflege für Milchzähne und alltagstaugliche Vorsorgetipps für zuhause.
Service

Digitales Röntgen und 3D-Röntgen (DVT)

Moderne digitale Bildgebung für präzise Diagnostik, exakte Planung und mehr Sicherheit bei reduziertem Strahlenaufwand.

Die Praxis arbeitet mit digitalen Röntgensystemen als wichtiger Hilfe bei Diagnose und Therapieplanung. Durch die hohe Strahlenempfindlichkeit digitaler Sensoren im Vergleich zu herkömmlichen Röntgenfilmen kann die Strahlenbelastung um bis zu 80 Prozent reduziert werden.

Digitales Röntgen (Intraoral- und Panoramaaufnahmen)

Ein kleiner Sensor ersetzt den klassischen Zahnfilm und wird an den zu untersuchenden Zahn gehalten. Bereits nach wenigen Sekunden steht das Bild auf dem Monitor zur Verfügung und kann direkt gemeinsam betrachtet und besprochen werden.

Auch bei der Panoramaaufnahme werden innerhalb kürzester Zeit alle Zähne inklusive Zahnwurzeln, Kiefer, Kiefergelenke und Kieferhöhlen dargestellt.

Digitales Röntgengerät in der Zahnarztpraxis
3D-Röntgen (DVT - Digitale Volumentomographie)

Die Praxis erstellt dreidimensionale Röntgenbilder, die eine besonders exakte Analyse und Visualisierung dentaler Strukturen ermöglichen. Knochen, Zähne und kleinste Nervenverläufe werden in ihrer räumlichen Umgebung dargestellt. Das dient einer detaillierten Diagnose, einer sicheren Operationsplanung und gegebenenfalls auch der Behandlungskontrolle.

Das 3D-Röntgen bedeutet für Sie mehr Sicherheit, schonendere Behandlungen und oft auch eine verkürzte Eingriffsdauer. Es kommt insbesondere bei der Implantatplanung, bei schwierigen Zahnentfernungen, Wurzelspitzenresektionen, Knochenaufbauten oder bei Wurzelbehandlungen zum Einsatz. Immer dann, wenn anatomische Strukturen besonders genau erkannt und sensible Bereiche wie Nerven geschützt werden müssen, bietet dieses Verfahren einen großen Vorteil.

3D-Darstellung eines Kiefers mit DVT-Aufnahmen
Weniger Strahlenbelastung
Digitale Sensoren arbeiten deutlich strahlungsärmer als klassische Röntgenfilme. Gleichzeitig stehen die Bilder sofort für Diagnose und Besprechung zur Verfügung.
Wann DVT sinnvoll ist
Die digitale Volumentomographie wird vor allem dann eingesetzt, wenn feine anatomische Strukturen, Knochenverhältnisse oder Nervenverläufe besonders exakt dargestellt werden müssen.
Die Kosten
Gesetzliche Krankenkassen übernehmen die Kosten für spezielle 3D-Röntgenaufnahmen derzeit in der Regel nicht. Deshalb handelt es sich um eine private Leistung. Über die entstehenden Kosten wird natürlich vorab informiert.
Service

Recall

Erinnerungsservice für Ihren nächsten Vorsorgetermin, damit die regelmäßige Zahngesundheit im Alltag nicht in Vergessenheit gerät.

Unser Erinnerungsservice zu Ihrem nächsten Vorsorgetermin

Ihr Einverständnis vorausgesetzt, erinnert die Praxis Sie gerne in regelmäßigen Abständen daran, am Angebot zur Gesunderhaltung Ihrer Zähne teilzunehmen. So lassen sich Vorsorge und Kontrolle einfacher in den Alltag integrieren.

Auf Wunsch erhalten Sie die Erinnerungsnachricht per Post. Das Team des Zahn- und Implantat-Zentrums von Dr. Horst Boland unterstützt Sie damit dabei, Kontroll- und Prophylaxetermine verlässlich wahrzunehmen.

Apfel als Symbol für Gesundheit und Vorsorge
Regelmäßige Vorsorge
Durch den Recall-Service bleiben Kontroll- und Prophylaxetermine besser im Blick und können rechtzeitig wahrgenommen werden.
Mit Ihrem Einverständnis
Die Erinnerung erfolgt nur, wenn Sie diesen Service wünschen. So bleibt die Terminbetreuung transparent und individuell.
Erinnerung per Post
Auf Wunsch erhalten Sie die Erinnerungsnachricht klassisch per Post und werden so rechtzeitig an Ihren nächsten Vorsorgetermin erinnert.